
RADIOGRAFIE DENTARĂ
Radiologie dentară la Swiss Dental – Precizie și Diagnostic Avansat
Radiografia dentară joacă un rol esențial în diagnosticarea și tratamentul stomatologic modern. La clinica Swiss Dental, oferim servicii de radiologie dentară de înaltă calitate, utilizând tehnologie de ultimă generație pentru a oferi pacienților noștri un diagnostic precis și un tratament personalizat.
Radiografiile dentare nu sunt doar un instrument de diagnosticare; ele contribuie la planificarea corectă a tratamentelor și la prevenirea complicațiilor, oferind medicilor stomatologi o imagine detaliată a structurilor dentare, maxilare și ale țesuturilor înconjurătoare.

Detalii
- Identificarea problemelor invizibile cu ochiul liber;
- Ghidarea tratamentelor stomatologice complexe;
- Monitorizarea sănătății orale generale.
La Swiss Dental, folosim sistemul CBCT Planmeca ProMax 3D Classic, unul dintre cele mai avansate echipamente de imagistică dentară, care oferă o imagine tridimensională de înaltă rezoluție și minimizează expunerea la radiații.
Radiografia dentară este recomandată în anumite circumstanțe specifice, fiind esențială pentru un diagnostic precis și un tratament eficient. Iată câteva situații în care aceasta este necesară:
Durere sau sensibilitate dentară inexplicabilă:
- Detectarea cariilor ascunse, fisurilor dentare sau infecțiilor care nu sunt vizibile la o simplă examinare vizuală.
Planificarea tratamentelor complexe:
- Pregătirea pentru implanturi dentare, tratamente ortodontice sau intervenții chirurgicale orale.
Evaluarea traumatismelor dentare:
- Identificarea fracturilor dentare sau a leziunilor maxilare cauzate de accidente.
Diagnosticarea afecțiunilor parodontale:
- Monitorizarea pierderii osoase și a afectării țesuturilor de susținere ale dinților.
Infecții și chisturi:
- Detectarea granulomelor, abceselor dentare sau altor formațiuni patologice.
Tratamente endodontice:
- Identificarea canalelor radiculare și verificarea succesului tratamentului de canal.
Monitorizarea dinților incluși:
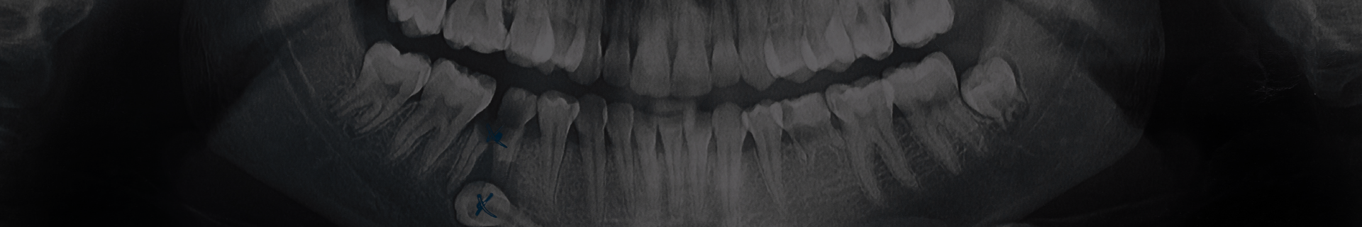
- Examinarea poziției molarilor de minte incluși sau semiincluși și a dinților care nu au erupt corect.
La clinica Swiss Dental, oferim o gamă variată de radiografii dentare, adaptate nevoilor fiecărui pacient:
Radiografii digitale intraorale:
- Radiografia retroalveolară: Oferă imagini detaliate ale unuia sau mai multor dinți, fiind utilă în diagnosticarea cariilor și a infecțiilor.
- Radiografia bite-wing: Ajută la identificarea cariilor interdentare și la monitorizarea sănătății coroanelor dentare.
Radiografii extraorale:
- Radiografia panoramică: Ideală pentru o vizualizare completă a dinților, maxilarelor și articulațiilor temporo-mandibulare. Este utilizată frecvent pentru planificarea tratamentelor ortodontice și implantologice.
- CBCT (Tomografie computerizată cu fascicul conic): Această tehnologie avansată oferă imagini tridimensionale detaliate, fiind esențială în cazurile complexe, cum ar fi intervențiile chirurgicale, tratamentele endodontice și implantologia.
Un aspect important care ne diferențiază este utilizarea sistemului CBCT Planmeca ProMax 3D Classic, unul dintre cele mai performante echipamente de radiologie dentară disponibile.
Avantajele tehnologiei CBCT:
- Diagnostic precis: Imaginile tridimensionale oferă detalii complete despre structurile dentare și maxilare.
- Expunere redusă la radiații: Comparativ cu alte metode tradiționale, CBCT minimizează expunerea pacientului la radiații.
- Versatilitate: Este utilizat în diverse domenii stomatologice, de la implantologie și chirurgie orală până la ortodonție și endodonție.
- Rapiditate: Procedura este rapidă, iar imaginile sunt disponibile imediat pentru analiză.
Procesul de realizare a unei radiografii dentare la Swiss Dental:
- Programarea:
- Pacientul este întâmpinat de echipa noastră de la recepție, unde completează un formular privind istoricul medical.
- Evaluarea:
- Medicul stomatolog decide tipul de radiografie necesar în funcție de simptomele și nevoile pacientului.
- Realizarea radiografiei:
- În sala special amenajată pentru radiologie, echipa noastră utilizează echipamente de ultimă generație pentru a obține imagini clare și detaliate.
- Interpretarea rezultatelor:
- Radiografiile sunt analizate de medicul specialist, care explică pacientului diagnosticul și planul de tratament.
Beneficiile radiografiei dentare la Swiss Dental:
- Precizie maximă: Utilizarea tehnologiei avansate garantează imagini de înaltă rezoluție, esențiale pentru un diagnostic corect.
- Siguranță: Echipamentele noastre minimizează expunerea la radiații, protejând sănătatea pacienților.
- Confort: Procedura este rapidă și nedureroasă, fiind realizată într-un mediu modern și prietenos.
- Echipă de specialiști: Radiografiile sunt interpretate de medici cu experiență, asigurând un plan de tratament personalizat.
Prevenția – Cea mai bună soluție împotriva problemelor dentare:
Radiografiile dentare nu sunt doar un instrument de diagnosticare, ci și o metodă excelentă de prevenție. Este recomandat ca pacienții să efectueze o radiografie panoramică sau intraorală o dată la 1-2 ani, pentru a identifica problemele dentare în stadii incipiente.
Cât de des trebuie să fac o radiografie dentară?
Frecvența depinde de starea generală de sănătate orală. Medicul stomatolog îți va recomanda o radiografie atunci când este necesar, în funcție de nevoile tale specifice.
Este radiografia dentară dureroasă?
Nu. Procedura este complet nedureroasă și durează doar câteva minute.
Sunt radiațiile periculoase?
La Swiss Dental, folosim echipamente moderne care emit radiații la un nivel minim, asigurând siguranța pacienților.
Programează-te acum la Swiss Dental pentru o radiografie dentară de înaltă precizie!
Dacă ai nevoie de o radiografie dentară sau dacă vrei să afli mai multe despre sănătatea zâmbetului tău, vino la Swiss Dental! Echipa noastră de specialiști te așteaptă cu tehnologie de ultimă generație și soluții personalizate pentru fiecare pacient. La noi, sănătatea orală este pe primul loc!